世語圖說
2025年12月05日
登陸網站
聯繫我們
運動
生肖
奇趣
娛樂
情感
新聞
新聞
命理
美食
家庭
百科
健康
美妝
旅遊
健身
雞湯
軍事
漫畫
搞笑
政治
快訊/知名銀行爆大規模裁員!「虧損274億」 撐不住了 60間分行全關閉
舒黛葉 • 1K次觀看
20歲女孩離世棺材突然落地,裡面出現兩具屍體,全村人熱淚盈眶!!
喬峰傳 • 810次觀看
快訊 / 六名大學生「驚傳全數身亡」!
管輝若 • 3K次觀看
中國辦演唱會!46歲台灣男星「開唱一半哭了」 票價打3.8折「還剩一堆座位」最後竟免費入場...
左晶秀 • 49K次觀看
鄭和下西洋招工沒人去?17歲少年帶頭逆行,墓志銘揭開大明~性
花峰婉 • 80次觀看
老爺的『夜間工具』?通房丫頭血淚史,她們連名分都不配擁有
花峰婉 • 110次觀看
古代上朝時間那麼早,上朝的文武百官住在哪?上完朝又去哪工作?
花峰婉 • 1K次觀看
快訊/台中出大事了!
呂純弘 • 2K次觀看
快訊/台灣1校爆倒閉! 整棟拆除「夷為平地」 一夕全拆光
奚芝厚 • 0次觀看
以為是蛇!他外帶蛋花湯「驚見超巨一條」煮熟飄湯里,內行網友笑:「這碗至少上千元」
奚芝厚 • 3K次觀看
一周至少60次!38歲男子癌症晚期,醫生:強調多次,就是不改
奚芝厚 • 30次觀看
買白菜時,「黃葉」和「綠葉」哪個好!今天終於明白了,別再買錯了!!
奚芝厚 • 0次觀看
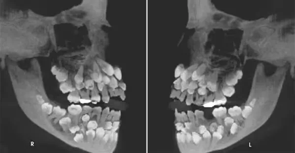
女童拔乳牙...X光驚見「81顆牙塞滿嘴」嚇壞牙醫:罕見
奚芝厚 • 0次觀看
快訊/剛起飛15分鐘! 墜機直衝河面「機上人員全罹難」...死者驚見企業界大咖
舒黛葉 • 17K次觀看
褲子後面紅紅的!車廂遇到「前方大哥出糗」本想上前提醒 得知真相後愣住「還好沒去問」
呂純弘 • 1K次觀看
快訊/行政院重大宣布! 2026年補助加碼10萬!
呂純弘 • 180次觀看
至少128死!香港煉獄火「最靈宮廟竟早預言」網看「年初籤詩內容」嚇傻:不祥預言應驗了!
舒黛葉 • 260次觀看
2026大清洗已開始!!! 老天爺真的要收人了 大師警告: 這個地方千萬不要去 越早知道越好
管輝若 • 3K次觀看
陳芋汐也沒想到,全紅嬋會因香港火災後的這一舉動,迎來口碑暴漲
呂純弘 • 1K次觀看
香港大埔火災初步調查結果曝!不是竹腳手架也不是網棚,「4大奪命關鍵」震驚全港
呂純弘 • 1K次觀看
韓國囚犯靠「15公分送餐口」硬鑽成功越獄!柔韌性驚呆獄警...最終下場讓人不寒而慄
呂純弘 • 160次觀看
褲子後面紅紅的!車廂遇到「前方大哥出糗」本想上前提醒 得知真相後愣住「還好沒去問」
老臘肉 • 16K次觀看
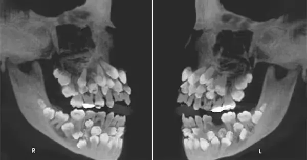
女童拔乳牙...X光驚見「81顆牙塞滿嘴」嚇壞牙醫:太罕見
呂純弘 • 440次觀看
香港火災後僅2天,郭晶晶也沒有想到,丈夫霍啟剛因為「一舉動」口碑暴增
呂純弘 • 570次觀看
«
Previous
1
2
3
4
5
6
7
8
9
10
»
Next